EXPERIENCE RELIEF TODAY!
Safe and Effective Wisdom Teeth Extraction in American Fork, UT
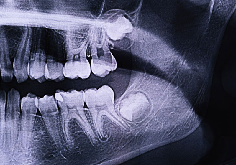
Do you suffer from persistent jaw pain, gum inflammation, or difficulty opening your mouth? Your wisdom teeth could be to blame.
At Palisades Dental Utah, we remove even complex wisdom teeth to eliminate pain and restore oral health.
Find out how expert oral surgeons Dr. Jeff Youngquist and Dr. John Capua in American Fork, UT, can help you feel better and protect your smile.

Wisdom Tooth Pain Relief Starts Here
There are many reasons you might need your wisdom teeth removed, but pain is a common one. Dr. Jeff Youngquist, Dr. John Capua, and their experienced team can help relieve the symptoms and prevent further oral health issues. With advanced technology and sedation options, Palisades Dental Utah in American Fork, UT, provides comprehensive care.
During your wisdom tooth extraction, we offer several sedation options based on your needs. For patients who would prefer deeper relaxation, we work with Elite Anesthesia, who will travel to our office to provide on-site sedation. Our team will help determine the best option for your comfort during your consultation.
Say goodbye to the pain! Call us or request a consultation online today.
Explore the Benefits of Wisdom Teeth Removal
-
Unleash Your Smile: Ditch the Wisdom Teeth Pain in American Fork
Are your wisdom teeth causing more trouble than they’re worth? You’re not alone. Many American Fork residents suffer from wisdom tooth pain, discomfort, and a host of other oral health issues. It’s time to break free from the agony!
If you’re in need of wisdom teeth extraction in American Fork, UT, Palisades Dental can be your ticket to relief. Our dental office is here to help you say goodbye to the pain, discomfort, and potential future dental problems associated with wisdom teeth.
-
Why Choose Palisades Dental for Wisdom Teeth Extraction
Undergoing wisdom teeth extraction near American Fork, UT, can prevent a world of dental issues. Impacted wisdom teeth can cause misalignment, damage to other teeth, and even lead to painful infections. By removing them, you’re protecting your oral health and saving yourself potential stress and expense down the road.
-
Experience Pain-Free Living
Imagine a life free from wisdom tooth pain. You can eat, sleep, and smile without discomfort. Wisdom teeth extraction recovery is typically smooth, and Dr. Youngquist and our team will guide you through every step of the process.
-
Unlock a Brighter Smile
Wisdom teeth often create hard-to-reach areas, making oral hygiene a challenge. This can lead to bad breath, cavities, and gum disease. By removing them, you’re giving your overall oral health a significant boost. Enjoy the confidence that comes with a healthy, radiant smile.
Ready to take control of your oral health? Contact us
We’re committed to providing you with the best possible care and helping you achieve a pain-free, beautiful smile.
Ready To Live
Pain-Free?
Contact Palisades Dental Utah today to schedule your consultation. Our friendly staff is here to help you every step of the way.
Info@PalisadesDentalUtah.com
801-756-1009




